ورم‌های نگران‌کننده که خبر از سرطان می‌دهند

فضای قفسه سینه بین ریه ها، استخوان سینه و ستون فقرات که شامل قلب و رگ‌های خونی و غدد لنفاوی می‌شود، ممکن است در چنین شرایطی درگیر شوند. تومور ها، سرطان سینه، سرطان تیروئید، سرطان پوست، سرطان خون و دیگر سرطان‌ها هم ممکن است عامل ایجاد چنین وضعیتی باشند.
ورم‌های نگران‌کننده که خبر از سرطان می‌دهند
کد خبر : ۵۸۰۸۹

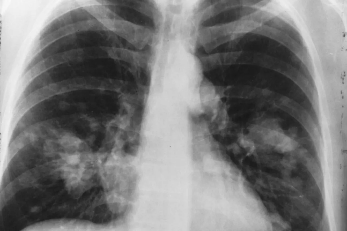
سرطان ریه یکی از رایج‌ترین سرطان‌ها در دنیاست بنابراین باید برای تشخیص و درمان سریع، علائم اولیه را بشناسید. یکی از علائم هشدار این بیماری روی صورت است.
 
وقتی ورم صورت، میتواند از علائم سرطان ریه باشد

سرطان ریه دومین سرطان رایج در بینِ مردان و زنان است و علت اصلی مرگ و میر در سر تا سر جهان می‌باشد. هر سال ۲۳۰ هزار نفر مبتلا به این بیماری تشخیص داده می‌شوند و در معرض خطر قرار می‌گیرند. البته متخصصان گفته اند که تشخیص اولیه تاثیر زیادی روی احتمال زنده ماندن فرد بر اثر این سرطان دارد؛ بنابراین بسیار مهم است که علائم را بشناسیم. مشخصا یک علامت وجود دارد که روی صورت تاثیر می‌گذارد و اگر متوجه آن شدید، فورا آزمایش سرطان بدهید.

ممکن است به خاطر سرطان ریه؛ ورم صورت اتفاق بیفتد

زمانی ورم صورت اتفاق می‌افتد که مایعات در بافت صورت تجمع پیدا می‌کنند و باعث التهاب و پف صورت می‌شوند؛ البته شاید علت‌های غیر سرطانی داشته باشد، اما گاهی اوقات علامت سرطان ریه است. علت هم این است؛ تومور‌هایی که داخل بدن ایجاد شده اند، جریان خون را در یک رگ مهم در قسمت بالای بدن مسدود می‌کنند که این رگ‌ها مسئول انتقال خون از سر به قسمت بالای قفسه سینه، گردن، دست و قلب می‌باشند.

هنگامی که این رگ مسدود می‌شود، وضعیت خطرناک خواهد شد. طبق مطالعات سال ۲۰۱۸ در چنین حالتی سندروم ورید اجوف فوقانی به وجود می‌آید که علت ایجاد این سندروم هم می‌تواند سرطان باشد. علائم این سندرم ممکن است که خودش را در مسدود کردن بخشی از رگ یا کل رگ نشان دهد.

ورم صورت می‌تواند علل دیگری هم داشته باشد

درست است که این سندروم به خاطر سرطان ریه اتفاق می‌افتد و باعث ورم صورت می‌شود، اما ورم صورت می‌تواند علت‌های دیگری هم داشته باشد که شامل عفونت باکتریایی، آلرژی، اختلالات هورمونی، سینوزیت و اسیب دیدگی بدن است که شما همیشه باید با پزشک صحبت کنید و شرایط را برایش توضیح دهید.

اگر متوجه شدید که صورت تان به یکباره ورم کرد، حتما باید سریعاً به پزشک مراجعه کنید، زیرا ممکن است علامت آنافیلاکسی هم باشد؛ وضعیتی است که زندگی شما را تهدید می‌کند و باعث واکنش آلرژیک خواهد شد.

علائم دیگر آنافیلاکسی شامل خارش پوست، کهیر، فشار خون پایین، مشکلات تنفسی، از دست دادن هوشیاری و ضربان قلب بالا است. بعضی از افراد که به این بیماری دچار هستند، ممکن است علائمی مانند حالت تهوع، استفراغ، اسهال، دل درد و ورم در بخش دیگر بدن را هم تجربه کنند.

اگر ورم در قسمت‌های دیگر بدن بود چطور؟

اگر این وضعیت در کل بدن پخش شود، ممکن است به خاطر سرطان‌های دیگر باشد. سرطان ریه رایج‌ترین علت این سندروم است، اما انواع دیگر سرطان‌ها هم در صورتی که در قسمت دیگر بدن پخش شوند، می‌توانند عامل ایجاد این اتفاق باشند.

فضای قفسه سینه بین ریه ها، استخوان سینه و ستون فقرات که شامل قلب و رگ‌های خونی و غدد لنفاوی می‌شود، ممکن است در چنین شرایطی درگیر شوند. تومور ها، سرطان سینه، سرطان تیروئید، سرطان پوست، سرطان خون و دیگر سرطان‌ها هم ممکن است عامل ایجاد چنین وضعیتی باشند.

نشانه‌ی ورم‌های نگران کننده

اگر ورم صورت بخاطر این سندروم اتفاق افتاده باشد، متوجه می‌شوید زمانی که دراز می‌کشید، ورم بدتر می‌شود که علت آن هم فشار اضافی به رگ‌های اصلی است که جریان خون را مسدود می‌کند. بعضی از افراد ممکن است علائم دیگری را هم تجربه کنند که شامل تنگی نفس، سرفه، گرفتگی صدا، درد قفسه سینه، مشکلات بلع، سندروم هورنر، سر درد، سرگیجه، احساس گیجی و سردرگمی می‌باشد.

تازه‌ترین اخبار و تحلیل‌ رویدادهای ایران و جهان را با نصب اپیلکیشن خبرخوان گردون به سهولت دنبال کنید.
منبع :
نمناک
مجله زندگی
ارسال نظر